Il cancro della mammella maschile
Il cancro del seno è la più frequente neoplasia maligna delle donne, può però essere diagnosticato, anche se molto più raramente nel sesso maschile che, pur non avendo una ghiandola altrettanto sviluppata, possiedono una quantità di tessuto ghiandolare sufficiente a dare origine alla malattia.
I fattori di rischio
L'età avanzata (picco della diagnosi attorno ai 70 anni) e alcune sindromi genetiche (Sindrome di Klinefelter) o esposizioni del torace a radiazioni sono fattori di rischio. Chiaramente anche la storia famigliare ha un ruolo importante. Uomini con una elevata familiarità (con nonne, madri e sorelle colpite da carcinoma mammario o ovarico), dovrebbero considerarsi a rischio e chiedere una consulenza genetica per valutare, se è il caso di sottoporsi ad un test genetico. Altri fattori di rischio sono errate abitudini alimentari (troppe calorie, troppi zuccheri, troppi grassi animali), sovrappeso e poca attività fisica.
La frequenza
In Italia è una patologia rara che colpisce circa 300 uomini all'anno.
La tipologia
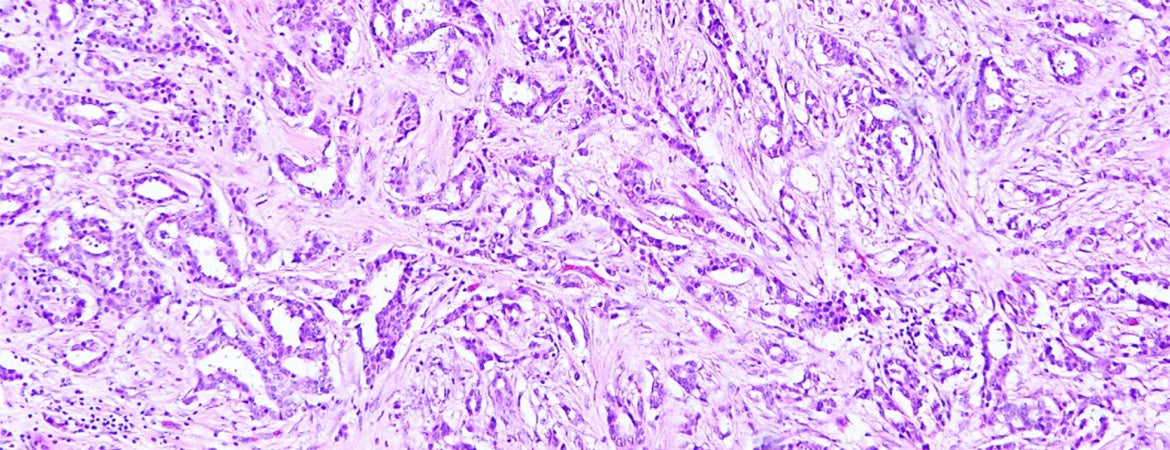
Come il suo corrispondente nella donna, il tumore della mammella maschile viene definito carcinoma duttale, se si sviluppa a partire dalle cellule dei dotti, o lobulare, se prende invece il via dalle cellule dei lobuli. Inoltre la malattia può essere infiltrante, quando supera la parete di dotti e lobuli e si diffonde anche ai tessuti vicini, o in situ, se le cellule malate non danno origine a metastasi. Nell'uomo, il carcinoma duttale infiltrante è la forma più diffusa (8 casi su 10), mentre il tumore lobulare è piuttosto raro dal momento che il tessuto lobulare è molto scarso
I fattori di rischio
Il cancro della mammella maschile si presenta simile a quello femminile. Spesso il paziente si accorge di un nodulo non dolente o di un’altra alterazione del tessuto mammario come un’infiammazione o una ferita che non tende a guarire o la retrazione di una zona cutanea o del capezzolo. Anche noduli di dimensioni maggiori sono raramente sintomatici, finché non coesiste un interessamento cutaneo. Eccezionalmente i primi sintomi possono essere quelli della disseminazione metastatica (dolori ossei, difficoltà respiratorie o problemi epatici).
La diagnosi
Per poter formulare una diagnosi di cancro della mammella è sempre necessario analizzare il tessuto del nodulo. Solitamente il tessuto viene prelevato tramite un ago, per le lesioni piccole sotto guida ecografica o mammografica. Raramente è necessario l’asportazione chirurgica a scopo diagnostico del nodulo o del tessuto sospetto. Prima dell’analisi del tessuto si eseguono altri esami diagnostici come la mammografia, l’ecografia e in alcuni casi la risonanza magnetica
Il trattamento
La prima cosa da stabilire è lo stato e il grado di disseminazione della malattia. I risultati della mammografia, dell’ecografia ed eventualmente della risonanza magnetica e quelli dei cosiddetti esami di staging degli organi più importanti come polmone, fegato, ossa, assieme agli esami di laboratorio permettono di definire, se la malattia è limitata alla mammella o se è già disseminata nel corpo. Nei moderni centri di senologia, si procede successivamente ad una discussione interdisciplinare di ogni caso nel cosiddetto tumorboard, a cui prendono parte specialisti in radiologia, chirurgia/ginecologia, patologia, radioterapia, oncologia, gli psicooncologi e le breast nurses. Nel carcinoma della mammella maschile una operazione conservativa del seno viene fatta raramente, a causa della scarsità di tessuto ghiandolare rispetto alla mammella femminile e a causa del ritardo diagnostico spesso presente. Solitamente si esegue la mastectomia, cioè l’asportazione di tutta la ghiandola mammaria e la biopsia del linfonodo sentinella. Se vengono rilevate delle metastasi nei linfonodi, si prosegue con l’asportazione di tutti i linfonodi ascellari (dissezione ascellare) di quel lato. Il tessuto mammario e il tessuto linfonodale asportati vengono inviati in anatomia patologica per la determinazione della diagnosi definitiva e dello stadio patologico della malattia. Se la malattia è molto avanzata localmente, può essere indicato eseguire la terapia chirurgica solo in un secondo momento dopo una terapia medica. Anche questa opzione terapeutica viene discussa in modo interdisciplinare nel tumorboard. In questo caso segue un ulteriore tumorboard pre-operatorio dopo la fine della terapia medica. Dopo l’intervento chirurgico, segue il tumorboard postoperatorio nel quale viene deciso la strategia terapeutica successiva, basandosi sulle informazioni finora ottenute. Questa può consistere in radioterapia, terapia farmacologica e/o visite di controllo periodiche (follow up). In alcuni casi può rendersi necessaria una radioterapia che avviene sulla parete toracica e in caso di interessamento dei linfonodi, anche della zona ascellare, superiormente e inferiormente alla clavicola. La terapia farmacologica consiste nella somministrazione per via orale, per infusione o attraverso iniezioni sub cutanee o intramuscolari di farmaci. Queste terapie, denominate ormonoterapia, chemioterapia e immunoterapia vengono somministrate in base al tipo di tumore, allo stadio della malattia e alla presenza di cellule tumorali nei diversi organi e vengono stabiliti individualmente per ogni paziente e servono per la prevenzione o per il trattamento delle metastasi (se presenti) o alla prevenzione di una recidiva locale. In generale si può dire che attraverso l’ottimizzazione delle strategie terapeutiche è oggi possibile evitare una ricaduta o una metastatizzazione nell’85% dei pazienti con nuova diagnosi.
La prevenzione
Siccome il cancro della mammella viene considerato una tipica malattia femminile, la forma maschile viene diagnosticata spesso con notevole ritardo. È quindi importante anche per gli uomini non sottovalutare eventuali noduli o cambiamenti nella forma del seno e del capezzolo e non farsi cogliere da imbarazzi o paure non giustificati: un parere del medico può chiarire se è necessario andare più a fondo. Inoltre è consigliabile non aumentare troppo di peso ed evitare di eccedere con l’alcol.
Il follow up
Dopo aver concluso il trattamento specifico del tumore, si passa alla programmazione di un sistematico e regolare controllo. Obbiettivo del controllo è da un lato assistere e alleviare gli effetti concomitanti e collaterali legati alla patologia e alle terapie effettuate, dall’altro lato il follow up serve a favorire il ripristino della integrità fisica e psicosociale e non ultimo a riconoscere tempestivamente eventuali recidive o nuove patologie.
Ultimo aggiornamento: 13/04/2026